Mein Leistungspektrum

Minimal Invasive Chirurgie (MIC)
Die Minimal Invasive Chirurgie (MIC) hat in der operativen Gynäkologie einen bedeutenden Fortschritt dargestellt, da sie es ermöglicht, chirurgische Eingriffe mit minimalen Gewebeschäden und kürzeren Genesungszeiten durchzuführen.
Durch den Einsatz von hochentwickelten Instrumenten und Methoden können gynäkologische Eingriffe wie Hysterektomien oder Myomektomien schonender durchgeführt werden, was zu weniger Komplikationen und einer schnelleren Rückkehr zur Normalität für die Patientinnen führt.
MIC III zertifiziert: Dr. Anna Kubiak
Als eine von lediglich 16 Frauen bundesweit (Juni 2024), verfüge ich seit 2023 über die MIC III-Zertifizierung - das ist die höchste Auszeichnung, die die Arbeitsgemeinschaft gynäkologische Endoskopie (AGE) vergibt.
Die AGE überprüft die Qualifikation und Erfahrung von Ärzten in drei Kategorien, wobei das Zertifikat MIC III höchste Anforderungen an die Operateure stellt, sowohl das Spektrum der Operationen betreffend, als auch die Anzahl der Eingriffe. Neben dem breiten Spektrum an Operationen werden aber auch regelmäßige Fortbildungen und wissenschaftliche Leistungen gefordert.

3D Laparaskopie
Die 3D-Laparaskopie ermöglicht es mir als Operateurin ein dreidimensionales Bild des Operationsfeldes zu erhalten. Diese Technologie verbessert die Tiefenwahrnehmung und Präzision während minimalinvasiver Eingriffe, was zu besseren Ergebnissen für die Patientinnen führt. Insbesondere bei Eingriffen wie der Entfernung von Endometriose können die Vorteile der 3D-Visualisierung entscheidend sein. Dadurch wird die Genesung der Patientinnen beschleunigt und die Risiken von Komplikationen minimiert.

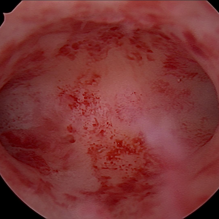
Hysteroskopie
Die Hysteroskopie ist ein wesentlicher Bestandteil der operativen minimal invasiven Gynäkologie und ermöglicht eine direkte visuelle Untersuchung der Gebärmutterhöhle. Zusätzlich kann man hiermit Polypen, Myome oder hoch aufgebaute Schleimhaut langfristig entfernen, so dass Periodenblutungen deutlich schwächer werden.
Durch den Einsatz eines Hysteroskops, das über die Vagina und den Gebärmutterhals eingeführt wird, können wir präzise Eingriffe vornehmen, ohne dass ein großer chirurgischer Eingriff erforderlich ist.
Die Hysteroskopie bietet nicht nur Vorteile in Bezug auf die Erholungszeit, sondern auch eine hohe Patientensicherheit und Effektivität bei der Behandlung gynäkologischer Probleme.

Sonata: Myome schnittfrei behandeln
Die Sonata-Behandlung ist eine innovative ein-schnittfreie Behandlung für Uterusmyome und klinisch als sicher und wirksam erwiesen.*
Bei der Sonata-Behandlung werden die einzelnen Myome mit Hilfe eines intrauterinen (in der Gebärmutter befindlichen) Ultraschall-Behandlungsgeräts ausfindig gemacht und anvisiert. Durch Abgabe von Radiofrequenzenergie werden das Myom geschrumpft und die Symptome reduziert.
Warum stellt die Sonata-Behandlung einen Durchbruch dar?
Mit der Sonata-Behandlung lässt sich ein breites Spektrum an Myomen, Myomgrößen und Myomstellen behandeln — ohne auch nur einen einzigen Einschnitt.
Die Myome werden vom Inneren der Gebärmutter aus behandelt, sodass für die Sonata-Behandlung keine Einschnitte im Bauchbereich und auch kein operatives Entfernen von Gewebe erforderlich sind, und die Gebärmutter erhalten bleibt.
1) Chudnoff S, Guido R, Roy K, Levine D, Mihalov L, Garza-Leal JG. Ultrasound-Guded Transcervical Ablation of Uterine Leiomyomas: The SONATA Trial. Obstet Gynecol. 2019 Jan; 133(1): 13-22
Meine Behandlungsschwerpunkte
Zusammen mit meinem Team im Krankenhaus Sachsenhausen (Schiffer Campus der Universitätsmedizin) behandeln wir ein breites Spektrum an gynäkologischen Erkrankungen und begleiten Frauen mit höchster medizinischer Kompetenz und persönlicher Zuwendung. Meine persönlichen medizinischen Schwerpunkte liegen in der Diagnostik, Beratung und Therapie von Senkungsbeschwerden, Inkontinenz, Endometriose, Myomen und weiteren gynäkologischen Erkrankungen.

Endometriose
Endometriose ist eine Erkrankung, die zahlreiche Frauen betrifft und oft mit starken Schmerzen vor und während der Periode einhergeht. Betroffene klagen manchmal zudem über tiefe Schmerzen beim Geschlechtsverkehr, was die Lebensqualität erheblich beeinträchtigen kann. Zudem sind viele Frauen von einer starken Regelblutung betroffen, die nicht nur körperlich, sondern auch emotional belastend ist. Während der Periode können Schmerzen beim Stuhlgang und Wasserlassen auftreten, was die Symptome weiter verschärft. Diese Beschwerden können auch zu einem unerfüllten Kinderwunsch führen, da Endometriose die Fruchtbarkeit beeinträchtigen kann.
Gerne biete ich Ihnen eine umfassende Diagnostik und Beratung an, ebenso bespreche ich gerne mit Ihnen die Möglichkeit der operative Entfernung der Endometriose - sowohl der oberflächlichen als auch der tief-infiltrierenden.
Hierbei richte ich besonderes Augenmerk auf die Eierstockschonende Entfernung der Endometriosezysten, um die ovarielle Reserve möglichst zu erhalten.

Myom-Zentrum
Myome sind häufig und müssen nicht immer entfernt werden. Sofern starke Blutungen, ein (unerfüllter) Kinderwunsch, Druck auf die Harnblase, ein häufiger Harndrang, Verstopfung oder Schmerzen bestehen, so kann eine operative Entfernung in Frage kommen.
Myome können selten bösartig sein, auch hier gilt es Risikofaktoren abzuklären.
Ich stehe Ihnen mit meinem erfahrenen Team gerne zur Seite, um Sie individuell zu beraten und Ihr Wohlbefinden zu fördern.
Seit vielen Jahren gehört die operative Gynäkologie am Krankenhaus Sachsenhausen zu den führendsten Kliniken in der Myomchirurgie.

Beckenbodenzentrum
Leiden Sie an einem Fremdkörpergefühl oder einem Druckgefühl nach unten? Oder haben Sie sehr häufigen Harndrang oder Blasenentleerungsstörungen? Ggf. verbunden mit rezidivierenden Harnwegsinfekten? Ist ein digitales Nachtasten zur Stuhl-Entleerung notwendig? Besteht ein Schamgefühl und Unwohlsein beim Sex? Fühlt sich Ihre Scheide zu weit an?
Dann sind Sie hier bei mir genau richtig!
Ich kann Ihnen helfen und biete Ihnen verschiedene innovative und moderne minimal-invasive Operationstechniken an - sowohl von vaginal als auch laparoskopisch (Bauchspiegelung).
Z.B. Scheidenraffungen
Z.B. Korrektur des Lateraldefektes
Z.B. Korrektur von Gebärmutter - oder Scheidensenkungen per minimal-invasive Fadentechnik (unilaterale pectineale Suspension) oder per Oberschenkel-Sehne.

Inkontinenz
Typische Symptome für eine Belastungs-Inkontinenz sind unwillkürlicher Urinverlust, der in Situationen wie Husten, Niesen, Aufstehen, Hüpfen, Treppenlaufen oder sogar beim Spazierengehen auftreten kann. Diese Symptome können die Lebensqualität erheblich beeinträchtigen und führen oft zu emotionalen und sozialen Einschränkungen. Eine umfassende Untersuchung und geeignete therapeutische Ansätze sind entscheidend, um betroffenen Frauen zu helfen und ihre Lebensqualität zu verbessern.

Gyn. Onkologie
Sentinel-Lymphknoten können dank modernster Technologie durch Indocyanin-Grün (ICG) detektiert werden.
Gezielte Wächter-Lymphknoten zu entfernen vermindert die Morbidität erheblich ohne die Detektionsrate zu verschlechtern.
Gebärmutterschleimhautkrebs ist eine der häufigsten Krebserkrankungen des weiblichen Fortpflanzungssystems.
Gebärmutterschleimhautkrebs (Endometriumkarzinom) ist meistens operativ gut behandelbar.
Als minimal-invasive Expertin bietet ich die innovative Technik der ICG-Sentinel-Technik an - vereint mit einer persönlich familiärer Umgebung am Krankenhaus Sachsenhausen.

Eierstockszysten
Eierstockzysten sind häufige Befunde in der operativen Gynäkologie und können oft zufällig beim Frauenarzt entdeckt werden. Diese Zysten sind meistens flüssigkeitsgefüllte Hohlräume im Eierstock und können auch Symptome hervorrufen wie Schmerzen im Unterbauch. Selten kann ein bösartiger Prozess dahinter stecken.
Gerne berate ich Sie gerne über die Notwendigkeit und die Art der minimal-invasiven operativen Entfernung des Befundes.